Η βιοψία αποτελεί αναπόσπαστο μέρος της διερεύνησης των απεικονιστικών ευρημάτων στο μαστό. Tο ότι χρειάζεται να γίνει βιοψία, δε σημαίνει ότι το εύρημα αφορά οπωσδήποτε κακοήθεια. Σε περίπτωση ύποπτου ευρήματος είναι προτιμότερο να γίνεται βιοψία παρά απλώς μακροχρόνια παρακολούθηση, διαφορετικά δεν επιτυγχάνεται ο στόχοςτης διάγνωσης καρκίνου μαστού σε αρχικό στάδιο.
- Παρακέντηση με λεπτή βελόνη - FNA (fine needle aspiration). Είναι η απλούστερη επεμβατική μέθοδος βιοψίας μαστού. Υπό συνεχή υπερηχογραφική καθοδήγηση εισάγεται μια λεπτή βελόνη εντός του ύποπτου ευρήματος και αναρροφάται το περιεχόμενο, το οποίο μπορεί να δοθεί για κυτταρολογικό έλεγχο και/ή καλλιέργεια σε υποψία φλεγμονής.Είναι γρήγορη και είναι πολύ καλά ανεκτή χωρίς επιπλοκές. Η μέθοδος εφαρμόζεται:
- σε συμπτωματικές κύστεις για ανακούφιση από τα συμπτώματα
- Σε ύποπτη κύστη, δηλ μια “κύστη” χωρίς τυπική υπερηχογραφική απεικόνιση
- σε απόστημα μαστού
- σε υπερηχογραφικά ύποπτους λεμφαδένες
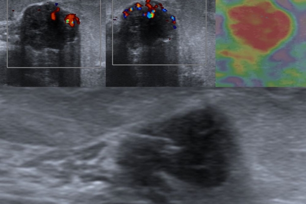
- Υπερηχογραφικά καθοδηγούμενη βιοψία μαστού - core biopsy
Εχει αντικαταστήσει την FNA στις συμπαγείς βλάβες του μαστού, γιατί η ποσότητα του ιστού που συλλέγεται είναι μεγαλύτερη και το αποτέλεσμα πιο αξιόπιστο.
- είναι γρήγορη και απατείται μόνο τοπική αναισθησία.
- η τομή εισόδου είναι μικρή-ολίγων χιλιοστών.
- δεν απαιτείται νοσηλεία.
- πολύ ανεκτή από την εξεταζόμενη και χωρίς διαταραχή της αρχιτεκτονικής του μαστού
- Αν είναι το αποτέλεσμα είναι καλόηθες, έχει αποφευχθεί μια χειρουργική επέμβαση
Αν είναι το αποτέλεσμα κακόηθες, καθορίζει την χειρουργική αντιμετώπιση, αλλά και τηνογκολογική αγωγή ώστε να μειωθεί η πιθανότητα υποτροπής.













