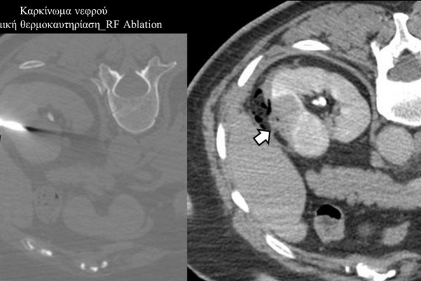
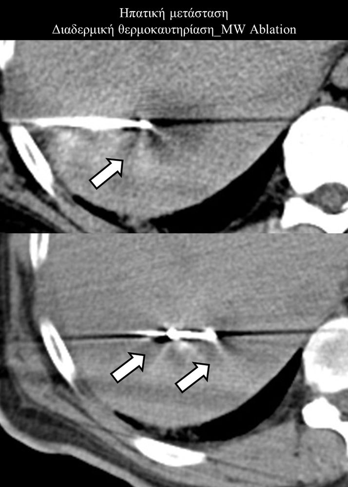
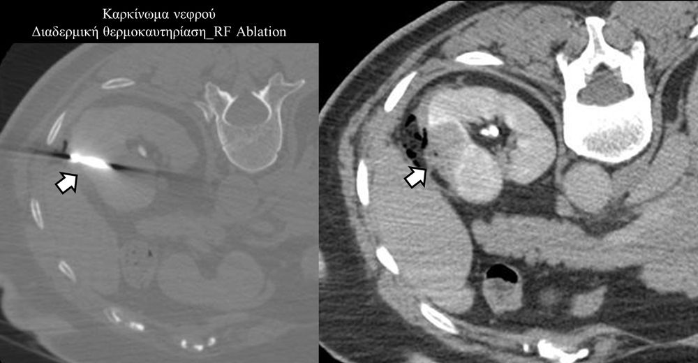
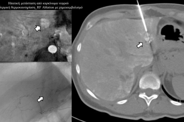
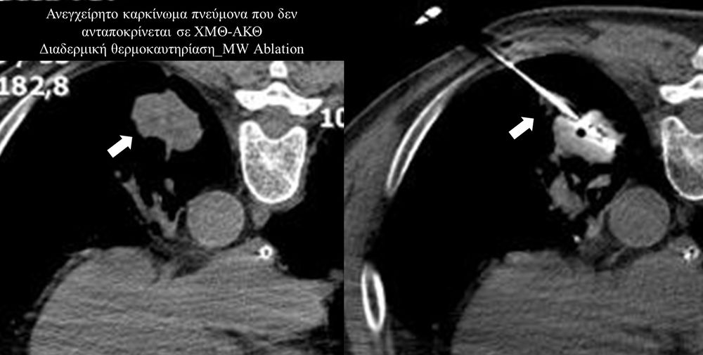
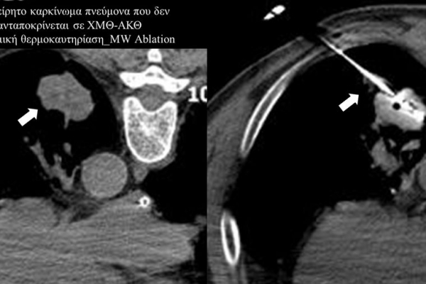
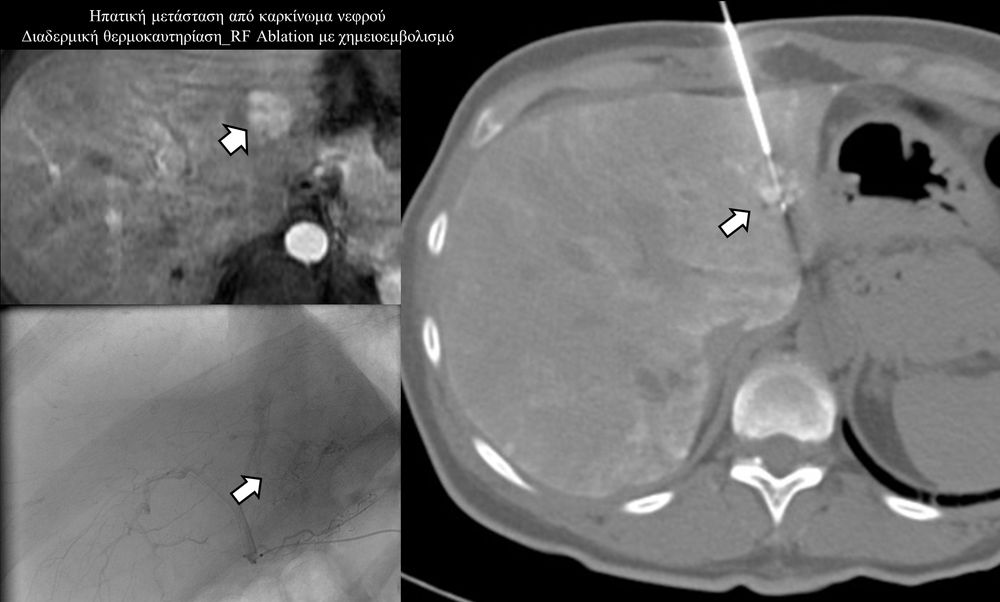
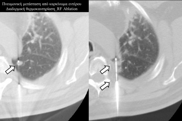
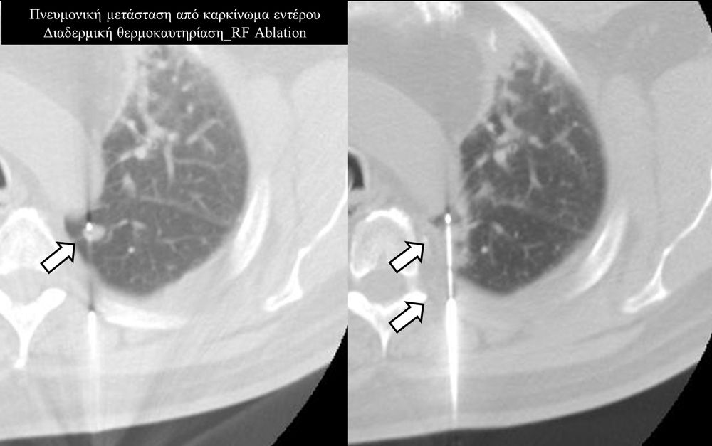
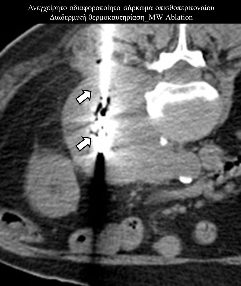
Πρόκειται για την πιο σύγχρονη τοπική θεραπεία όγκων του ήπατος, του νεφρού, του πνεύμονα, των οστών και των όγκων μαλακών μορίων. Παθοφυσιολογικά βασίζεται στην τοπική καταστροφή των καρκινικών κυττάρων με τη δημιουργία ιδιαίτερα υψηλών θερμοκρασιών εντός του όγκου. Αυτό επιτυγχάνεται με τοποθέτηση ειδικών ηλεκτροδίων εντός του όγκου υπό ακτινολογική καθοδήγηση (αξονικός τομογράφος ή υπέρηχος). Τα ηλεκτρόδια αυτά παράγουν υψηλή θερμοκρασία είτε με τη βοήθεια ραδιοσυχνοτήτων (RFablation), είτε με τη βοήθεια μικροκυμάτων (MWablation) και προκαλούν πηκτική νέκρωση των καρκινικών κυττάρων χωρίς να επηρεάζουν τα φυσιολογικά κύτταρα.Το αποτέλεσμα είναι μόνιμο.













