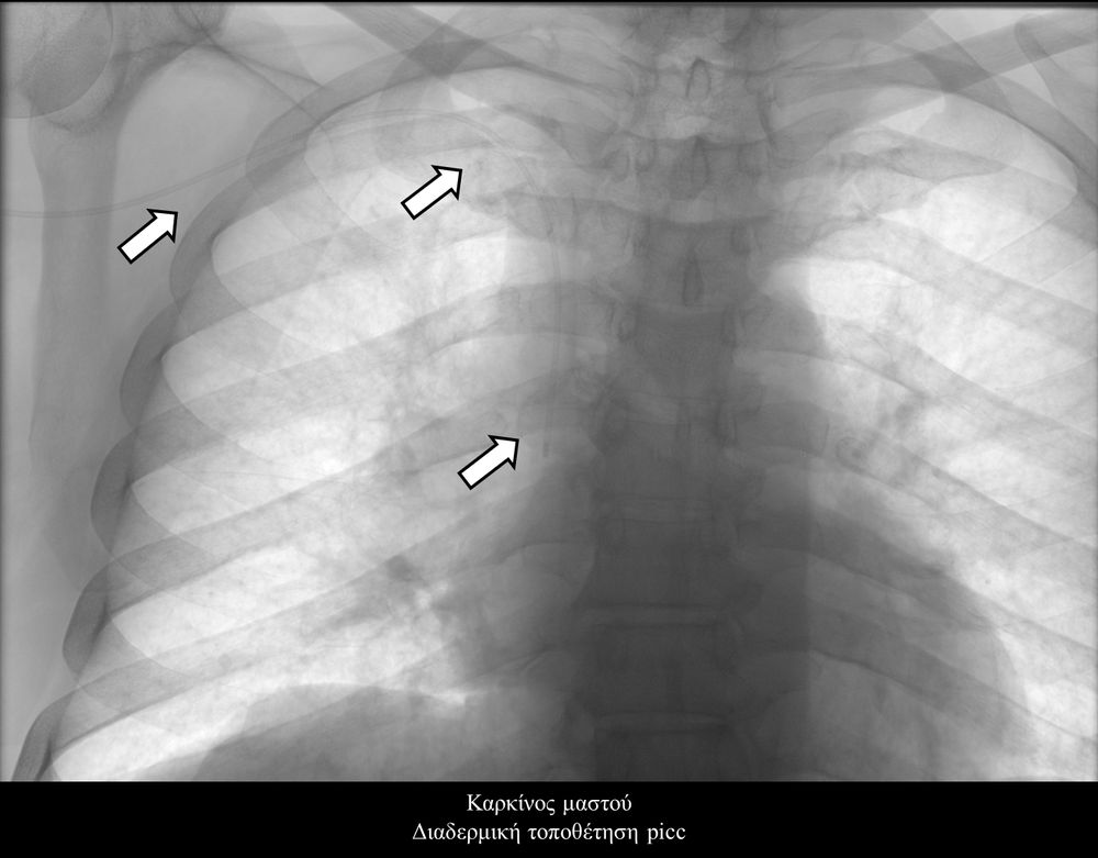
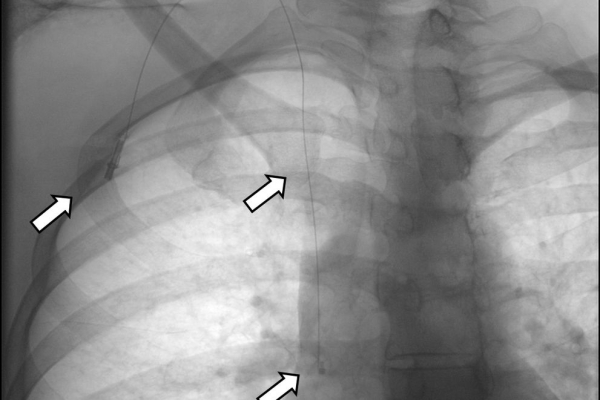
- Οι περιφερικά εισερχόμενοι κεντρικοί καθετήρες (PICC lines) είναι ειδικοί καθετήρες, οι οποίοι εισάγονται από μια περιφερική φλέβα συνήθως των άνω άκρων(π.χ βασιλική ή κεφαλική φλέβα) και προωθούνται μέχρι κεντρικής φλέβας πλησίον της καρδιάς (συνήθως στην άνω κοίλη φλέβα) ώστε να επιτευχθεί η ενδοφλέβια πρόσβαση. Οι καθετήρες PICC μπορούν να χρησιμοποιηθούν για την χορήγηση μιας ποικιλίας φαρμακευτικών θεραπειών ειδικά στον ογκολογικό ασθενή όπως αντιβιοτικών, αναλγητικών, χημειοθεραπείας, παρενετερικής σίτισης ή και για απλή αιμοληψία σε ασθενείς που νοσηλεύονται επί μακρόν στην κλινική ή στην μονάδα εντατικής θεραπείας, καθώς και σε ασθενείς οι οποίοι επιστρέφουν στο σπίτι και επανεισάγονται στην κλινική μόνο για την προκαθορισμένη χημειοθεραπεία τους.
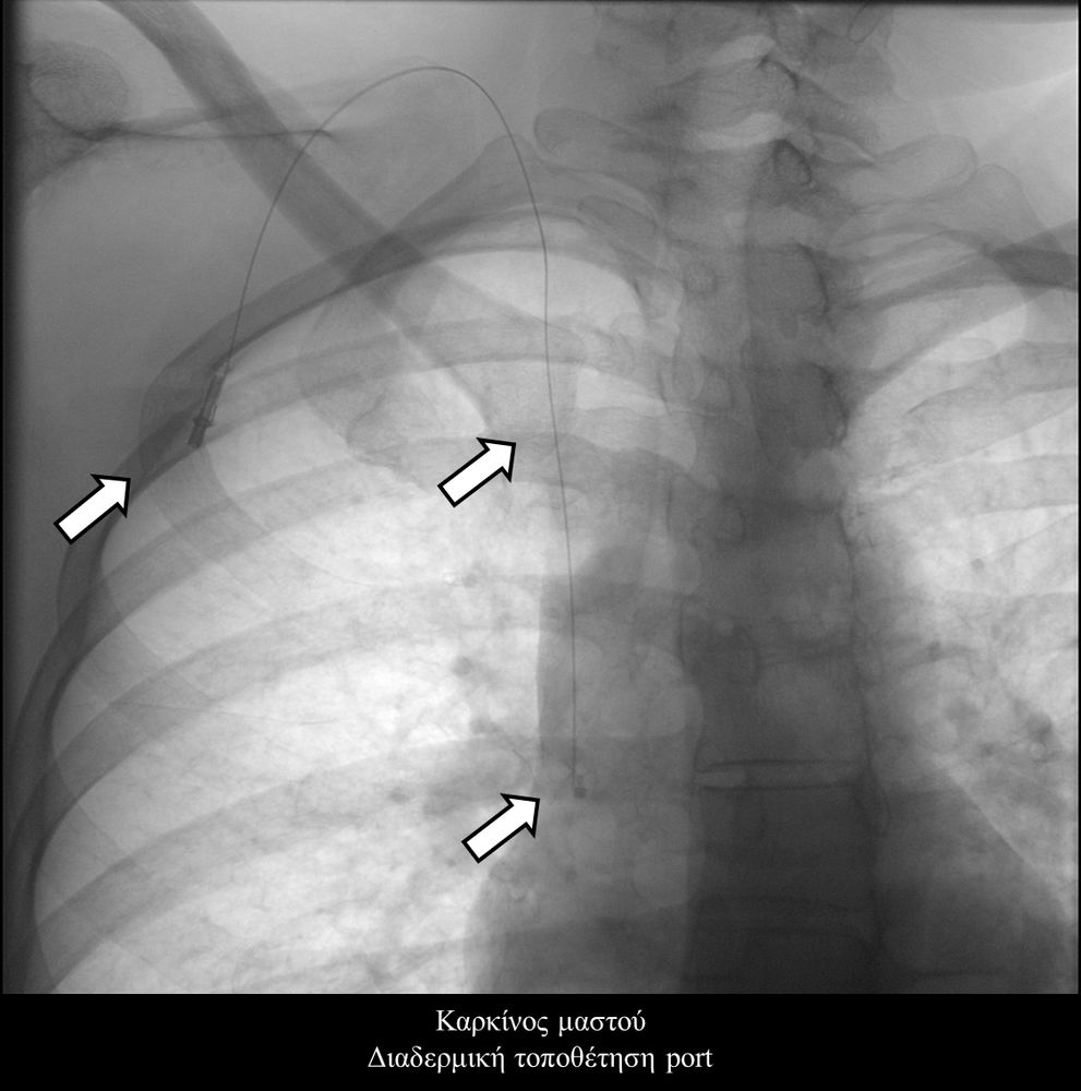
- Τα Port-a-Caths είναι εμφυτεύσιμοι κεντρικοί φλεβικοί καθετήρες με τύμπανο που τοποθετούνται διαδερμικά συνηθέστερα στο πρόσθιο θωρακικό τοίχωμα και ενώνονται μέσω υποδόριου τούνελ με την έσω σφαγίτιδα φλέβα. Η τοποθέτησή τους γίνεται στην αγγειογραφική σουίτα σε συνθήκες αποστείρωσης και με τη βοήθεια υπερηχογραφικού ελέγχου. Το Port-a-Cath είναι μια υποδόρια συσκευή, που δεν περιορίζει τις καθημερινές δραστηριότητεςκαι δεν απαιτεί συχνή φροντίδα. Ο ογκολογικός ασθενής μπορεί να κάνει άφοβα μπάνιο ακόμα και στη θάλασσα. Οι κίνδυνοι επιμόλυνσης και θρόμβωσης του καθετήρα είναι πολύ χαμηλοί, ενώ η διάρκεια χρήσης του μπορεί να ξεπεράσει και τα 5 έτη. Επιπλέον ενδείκνυται η χρήση τους σε αξονικούς και μαγνητικούς τομογράφους έως 1.5 Tesla.













