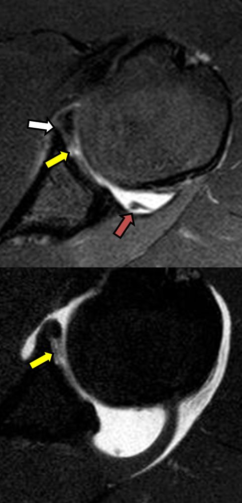
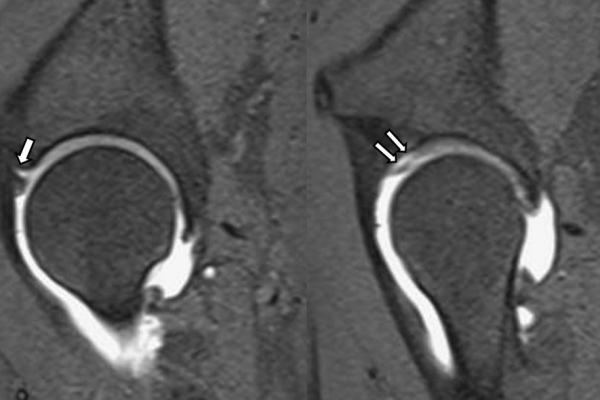
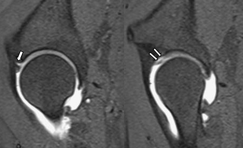
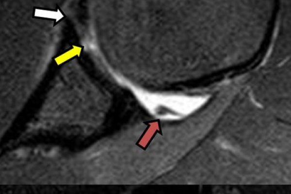
Τι είναι η CT-MR Αρθρογραφία;
Είναι μια ελάχιστα επεμβατική απεικονιστική μέθοδος που επιτρέπει τη λεπτομερέστερη διερεύνηση του εσωτερικού των αρθρώσεων. Η ασφαλής έγχυση σκιαγραφικού εντός της άρθρωσης υπό ακτινολογική καθοδήγηση και η ακόλουθη απεικόνιση της άρθρωσης με αξονική ή μαγνητική τομογραφία (ή και με συνδυασμό των μεθόδων) αποσαφηνίζει βλάβες του χόνδρου και κακώσεις-ρήξεις συνδέσμων και τενόντων με υψηλή ακρίβεια, συμβάλλοντας σημαντικά στο λεπτομερή χειρουργικό σχεδιασμό.













