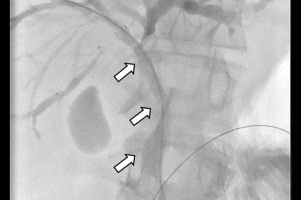
Σε πολλές περιπτώσεις πρωτοπαθών ή δευτεροπαθών όγκων ήπατος - παγκρέατος προκαλείται απόφραξη των χολαγγείων με συνοδό αποφρακτικό ίκτερο.Ο ασθενής με αποφρακτικό ίκτερο δεν μπορεί να υποβληθεί σε χημειοθεραπεία, αν δεν αποκατασταθεί ο ίκτερος με παροχέτευση των χοληφόρων.
Η παροχέτευση των χοληφόρων σε αυτές τις περιπτώσεις θα πρέπει να γίνεται άμεσα, είτε ταυτόχρονα προς τα έξω και προς το 12κτυλο (έσω-έξω παροχέτευση), είτε μόνο προς τα έξω με τη βοήθεια pigtailκαθετήρα (εξωτερική παροχέτευση)
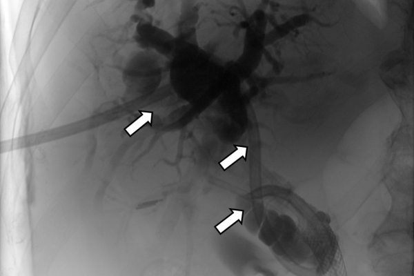
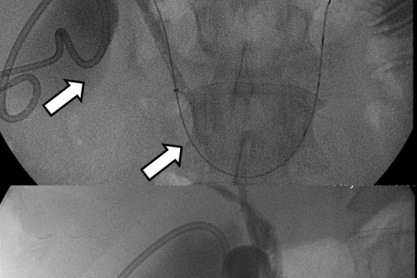
Σε περιπτώσεις όπου υπάρχει απόφραξη των χοληφόρων και ενδείκνυται η τοποθέτηση ενδοπρόθεσης (stent), τότε η βατότητα των χολαγγείων και η αντιμετώπιση του αποφρακτικού ικτέρου μπορεί να διασφαλιστεί με την τοποθέτηση ενδοπροθέσεων (stents).
Η προσπέλαση σε όλες τις περιπτώσεις γίνεται διαδερμικά και η νοσηλεία του ασθενούς διαρκεί συνήθως μία ημέρα και ο ασθενής επιστρέφει στο σπίτι του την επομένη.













