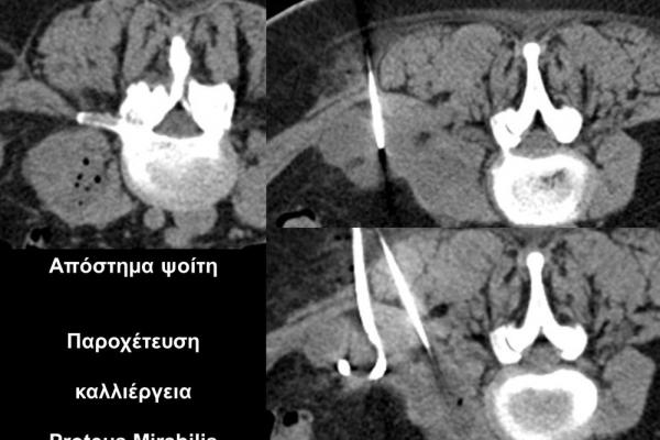
Η οστική βιοψία και η βιοψία όγκων μαλακών μορίων χρησιμοποιείται για την ιστολογική διάγνωση αλλοιώσεων (καλοήθων - κακοήθων / πρωτοπαθών ή μεταστατικών) ή για τη λήψη υλικού προς καλλιέργεια ώστε να αναδειχθεί το μικρόβιο που προκαλεί τη λοίμωξη του μυοσκελετικού συστηματος (πχ σπονδυλοδισκίτιδα). Η βιοψία υπό συνεχή απεικονιστική καθοδήγηση συμβάλλει στην υψηλή ακρίβεια τοποθέτησης της βελόνης εντός της βλάβης με ασφαλή προσπέλαση. Η χρήση σύγχρονων ομοαξονικών συστημάτων βιοψίας (coaxialtechnique) επιτρέπει την λήψη πολλαπλών δειγμάτων με μια μόνο παρακέντηση.













