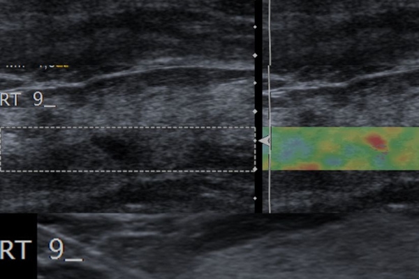
Η ελαστογραφία μαστού είναι μια σύγχρονη υπερηχογραφική μέθοδος που επιτρέπει τη διάκρισητων καλοήθων ογκιδίων από τους κακοήθεις όγκους.
Συνοπτικά ασκείται μια μικρή πίεση στους εντοπισμένους όγκους, μετρώντας την ελαστικότητα τους.
Ο καρκίνος γενικά εμφανίζει μεγαλύτερη σκληρότητα-ελαττωμένη ελαστικότητα σε σχέση με τα καλοήθη ογκίδια και επομένως η ελαστογραφία μπορεί να δώσει τις αναγκαίες πληροφορίες έτσι ώστε να μειώσει τις βιοψίες μαστού μόνο στις απολύτως απαραίτητες.













