Τι ειναι o δυναμικός μυοσκελετικός υπερηχογραφικός έλεγχος;
Είναι μια νέα μέθοδος που χρησιμοποιεί υψηλής ευκρίνειας υπερήχους για τη διάγνωση μυοσκελετικών παθήσεων που αφορούν τένοντες, μυς, συνδέσμους, νεύρα και περιφερικές αρθρώσεις. Η μέθοδος αναπτύχθηκε τα τελευταία χρόνια και αποτελεί αναπόσπαστο μέρος στη διαφορική διάγνωση παθήσεων που αφορούν τηνορθοπαιδική, αθλητιατρική, ρευματολογία και παιδιατρική.
Σε τι διαφέρει απο τα συνήθη υπερηχογραφηματα αλλων οργανων σωματος;
Πρόκειται για υπερηχογράφημα υψηλής ευκρίνειας που επιτρέπει την λεπτομερέστατη απεικόνιση (σε επίπεδο χιλιοστού) ακόμη και πολύ μικρών/επιφανειακών ανατομικών δομών και απαιτεί ειδικό υπερηχογραφικό εξοπλισμό καθώς και εξειδίκευση του ακτινολόγου. Η εξέταση γίνεται με δυναμικό τρόπο, δηλ εκτελούνται δοκιμασίες κίνησης του μέλους που πάσχει, ώστε να αποκαλυφθεί η παθολογίαακόμη και όταν δεν είναι εμφανής σε θέση ηρεμίας. Επιπλέον, η εξέταση είναι ανώδυνη και ασφαλής και δεν περιλαμβάνει ακτινοβολία (CT), μαγνητικό πεδίο (MRI) ή παραμονή σε κλειστό χώρο και είναι πολύ ανεκτή τόσο σε ενήλικες όσο και σε παιδιά.
Ποιες παθήσεις μπορουν να διαγνωστουν με το δυναμικο μυοσκελετικό υπερηχογραφημα;
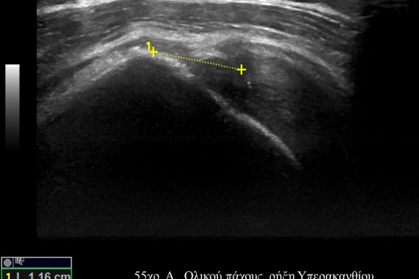
- Παθήσεις Ώμου (πχ ρήξη στροφικού πετάλου)
- Ισχίου-Μηρού (πχ τροχαντηρίτιδα)
- Γόνατος (πχ τενοντίτιδα)
- Ακρου Ποδός/ Πέλματος (πχ απονευρωσίτιδα)
- Αγκώνα (πχ επικονδυλίτιδα)
- Νεύρων (πχ συνδρομο καρπιαίου σωλήνα)
- Αθλητικές κακώσεις σε παιδιά (πχ αποφυσίτιδα)













