Οι κατευθυνόμενες εγχύσεις σε αθλητικές κακώσειςαποσκοπούν στη μείωση του πόνου, την ενίσχυση της αποτελεσματικότητας της φυσικοθεραπείας και την επιτάχυνση της διαδικασίας επούλωσης για την πιο γρήγορη επάνοδο του αθλητή στις αθλητικές του δραστηριότητες. Η πιο διαδεδομένη έγχυση αποτελεί η έγχυση PRP.Ανήκει σε μια σύγχρονη θεραπευτική μέθοδο γνωστή ως Ορθοβιολογική θεραπεία και βασίζεται την ικανότητα του οργανισμού να θεραπεύεται με τα δικά του αποκλειστικά θεραπευτικά μέσα χωρίς να υπάρξει χρήση φαρμάκων.Το PRP (Platelet Rich Plasma)-πλάσμα πλούσιο σε αιμοπετάλια- σήμερα αποτελεί μια θεραπευτική μέθοδο πρώτης γραμμής με σχετικά μεγάλη επιτυχία για την επούλωση τραυματισμένων τενόντων, μυών και εκφυλιστικών παθησεων όπως οστεοαρθρίτιδα.Η εφαρμογή του περιλαμβάνει μία ευρεία ποικιλία από παθήσεις όπως:
- Παθήσεις του αρθρικού χόνδρου
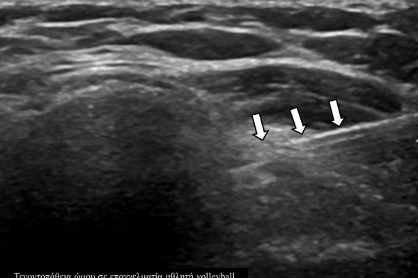
- Οξείες και χρόνιες Τενοντίτιδες και Τενοντοπάθειες (τενοντίτιδα αχιλλείου, επιγονατιδικού,οπισθίων μηριαίων, υπερακανθίου του ώμου)
- Συνδεσμικές κακώσεις
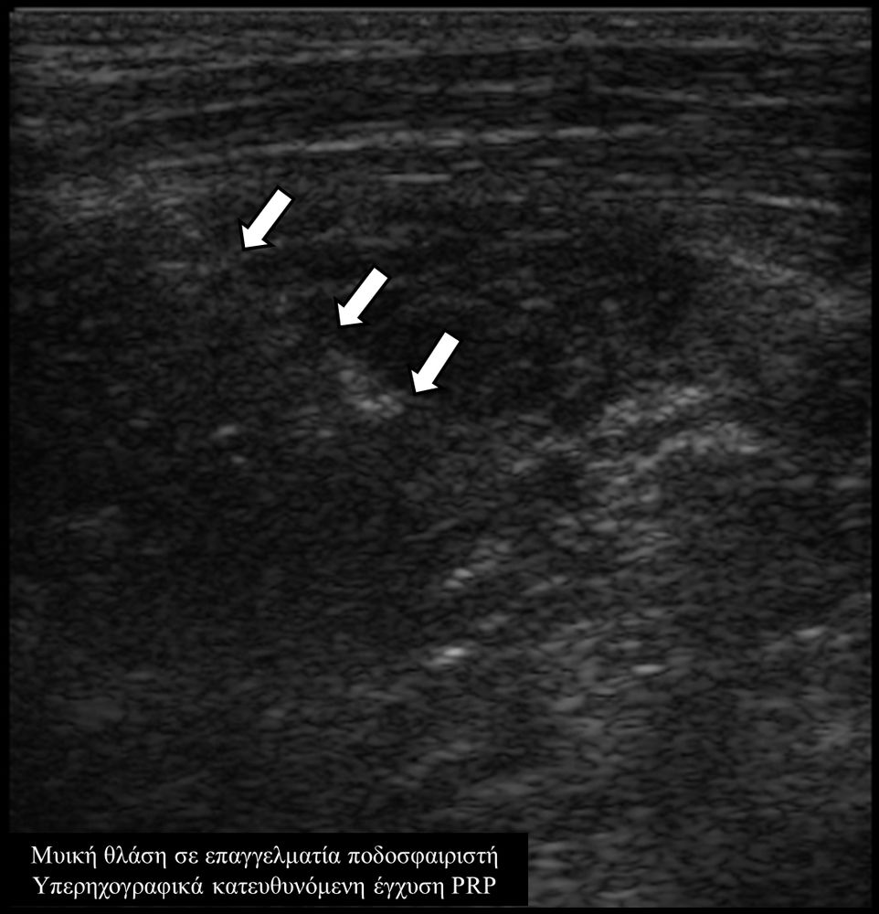
- Μυικές θλάσεις (οξείες και χρόνιες)
- Επικονδυλίτιδα αγκώνα
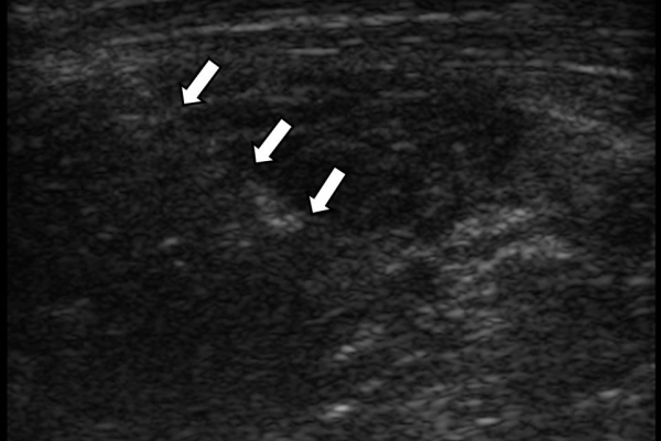
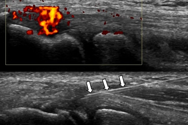
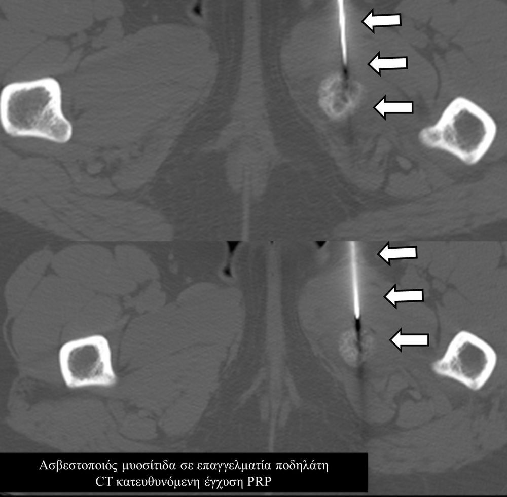
Η έγχυση γίνεται πάντοτε με την βοήθεια υπερηχογραφικού ελέγχου ώστε να είμαστε απόλυτα σίγουροι για το σημείο έγχυσης τοπικά.













