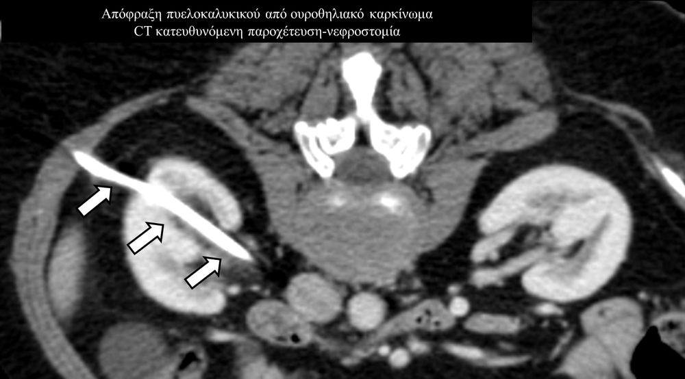
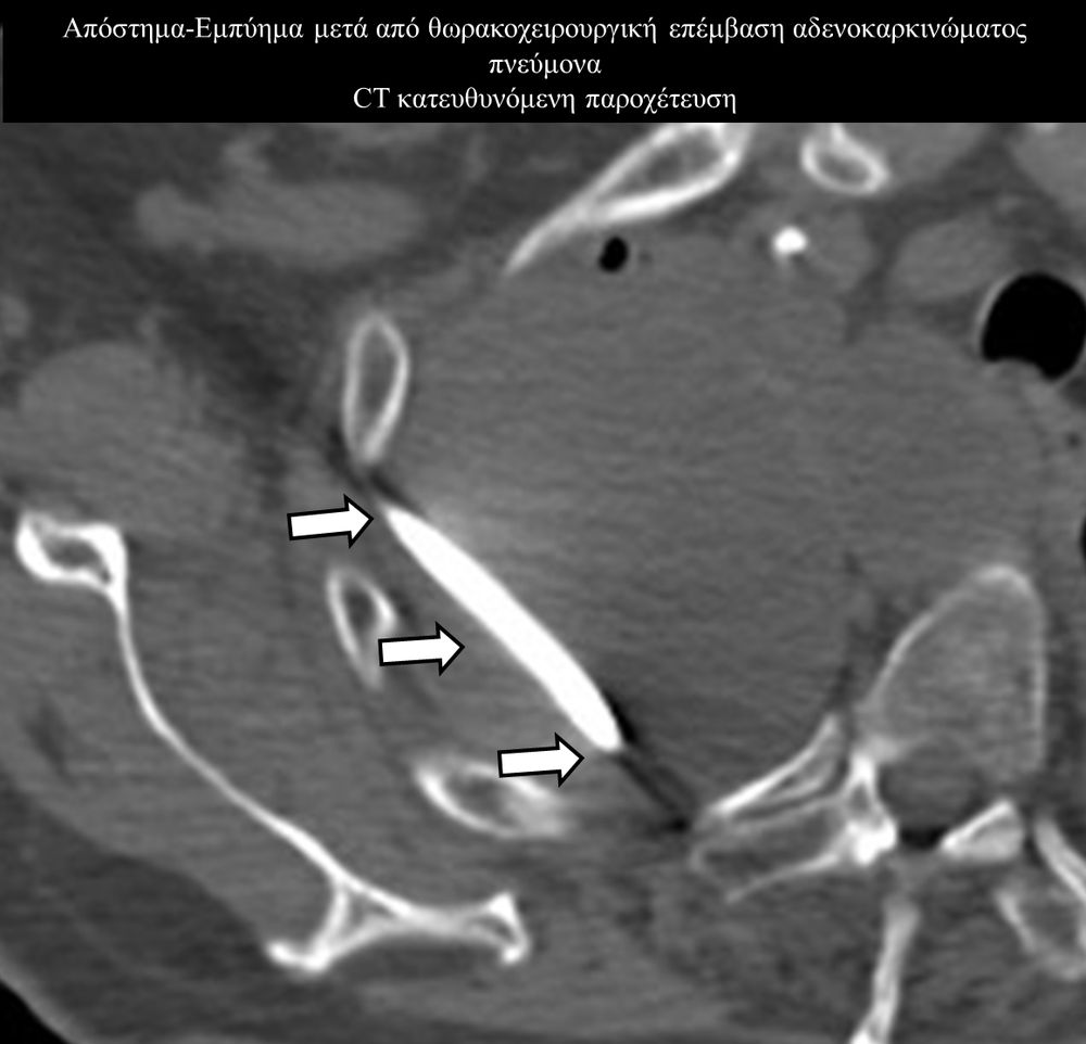
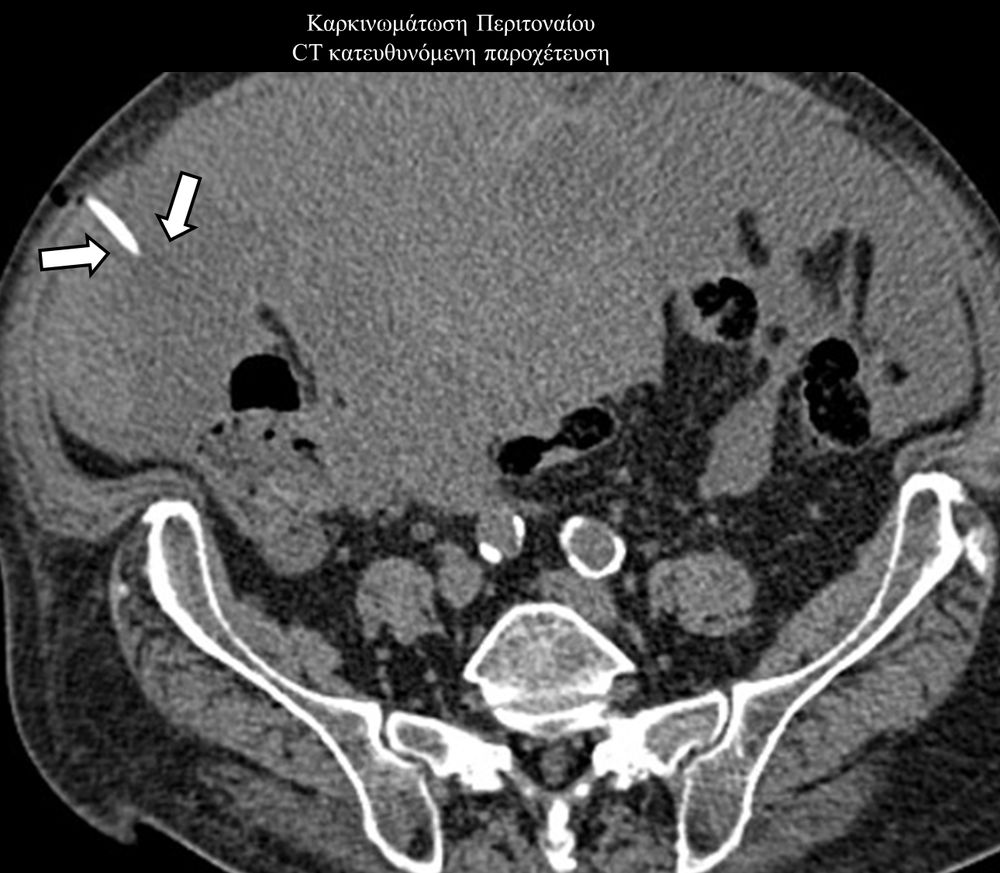
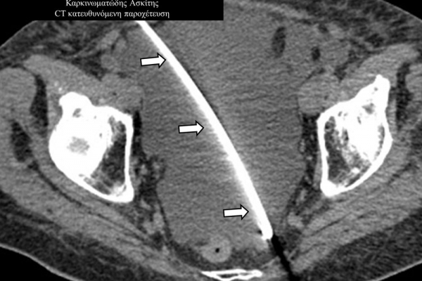
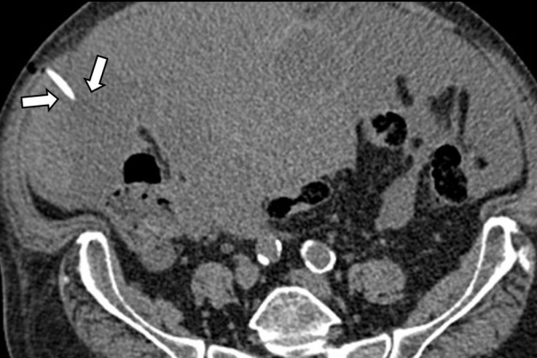
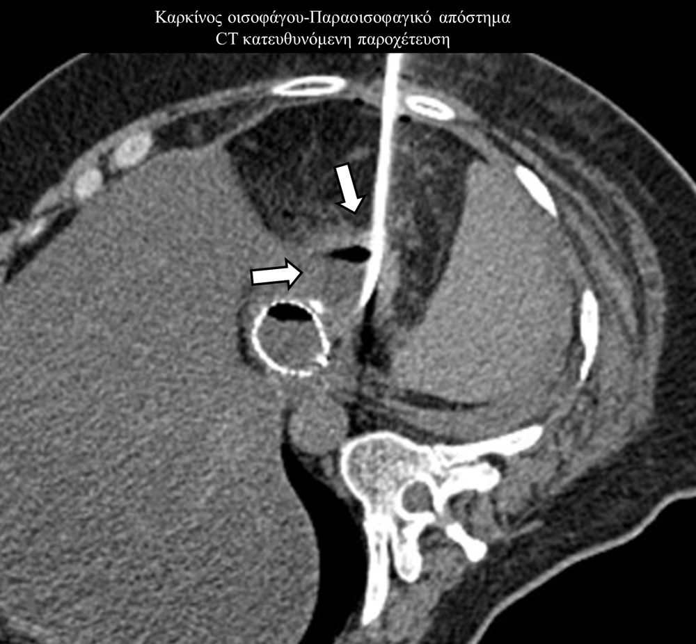
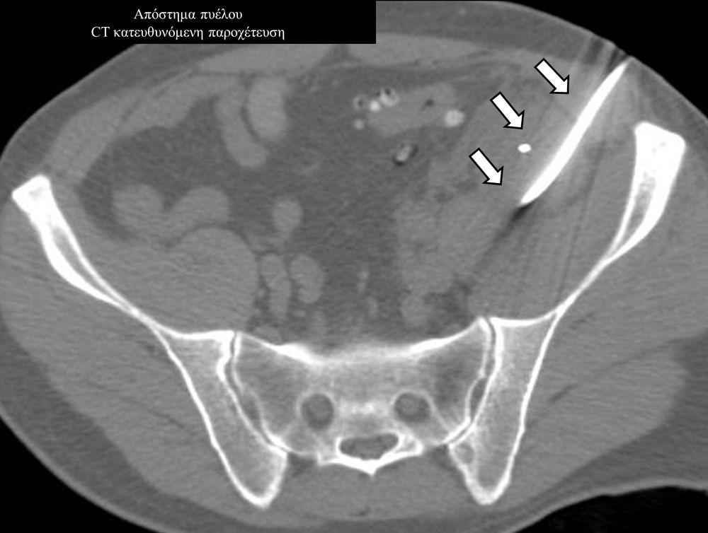
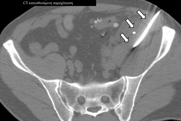
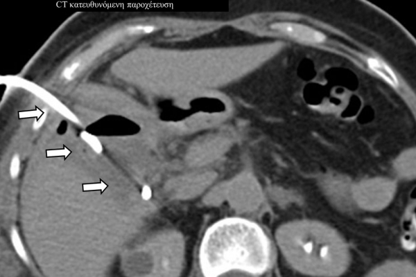
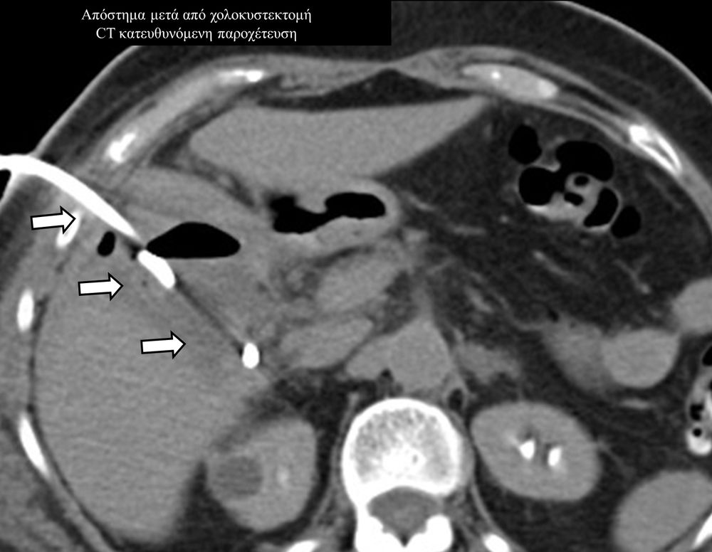
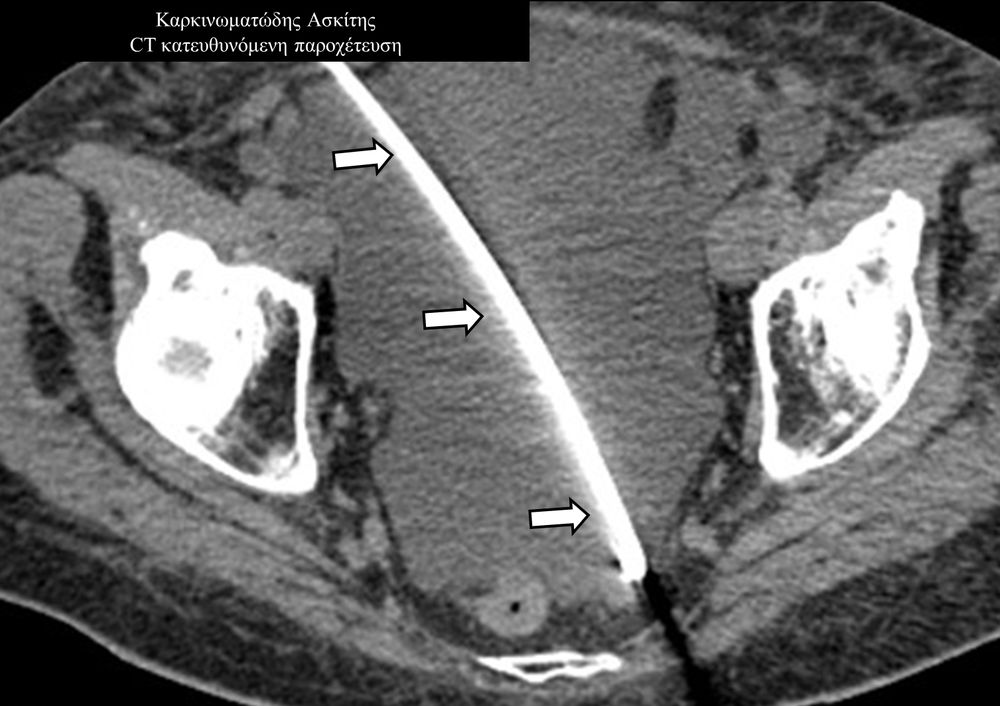
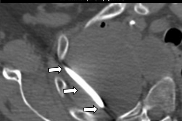
Οι απεικονιστικά καθοδηγούμενες διαδερμικές παροχετεύσεις είναι ελάχιστα επεμβατικές μέθοδοι εξωτερικής παροχέτευσης συμπτωματικών συλλογών, όπως ασκιτικές-καρκινικές-μετεγχειρητικές συλλογές, αποστήματα, πλευριτικές συλλογές-εμπυήματα.
Η διαδερμική παροχέτευση συλλογών συμβάλλει σημαντικά στην καλύτερη ποιότητα ζωής του ογκολογικού ασθενούς, αντιμετωπίζει τις οξείες τοξικές επιδράσεις στον οργανισμό που μπορούν να αποβούν θανατηφόρες, αλλά και επιτρέπει την απρόσκοπτη συνέχιση της θεραπείας του.
Η παρέμβαση διενεργείται υπό την καθοδήγηση αξονικού τομογράφου ή υπερήχων ή και με συνδυασμό τους. Ο επεμβατικός ακτινολόγος αρχικά αναισθητοποιεί την ανατομική περιοχή ενδιαφέροντος με τη χρήση τοπικής αναισθησίας και παρακεντεί την συλλογή διαδερμικά με λεπτή βελόνη. Στη συνέχεια μέσω ομοαξονικών συστημάτων συρμάτων-καθετήρων-διαστολέωντοποθετείται διαδερμικός καθετήρας τύπου pig-tail εντός της συλλογής, ο οποίος συνδέεται με εξωτερική παροχέτευση.













