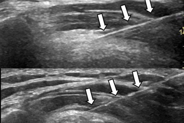
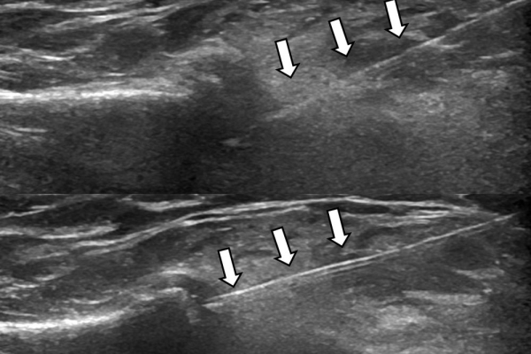
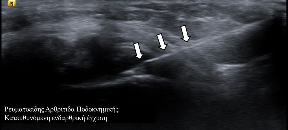
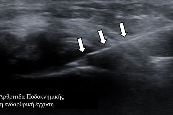
Υπό συνεχή υπερηχογραφική παρακολούθηση είναι δυνατόν να πραγματοποιηθούν κατευθυνόμενες εγχύσεις σε ορθοπαιδικές και ρευματολογικές παθήσεις. Αρχικά εντοπίζεται η παθολογική περιοχή και στη συνέχεια εξετάζεται η βέλτιστη οδός προσπέλασης. Ακολούθως γίνεται υπό άμεση και συνεχή υπερηχογραφική παρακολούθηση οι απαραίτητοι χειρισμοί και έγχυση φαρμάκων ακριβώς στη θέση της βλάβης.
Εχει αποδειχθεί ότι με την υπερηχογραφική καθοδήγηση εξασφαλίζεται:
- μεγαλύτερη ακρίβεια και αποτελεσματικότητα (αφού η έγχυση/θεραπεία γίνεται ακριβώς στηνπαθολογική περιοχή)
- καλύτερη ανοχή από τον ασθενή (λιγότεροι τραυματικοί χειρισμοί αφού έχουμε άμεση και συνεχή εποπτεία της βελόνας)
- μεγαλύτερη ασφάλεια (αποφυγή τρώσης νεύρων, αγγείων, γειτονικών ανατομικών δομών).
Οι διαγνωστικές-θεραπευτικές εγχύσεις είναι δυνατόν να γίνουν σε μια πλειάδα μυοσκελετικών-ρευματολογικών παθήσεων όπως:
- ενδοαρθρικά(πχ οστεοαρθρίτιδα)
- σε ορογόνους θύλακες (πχ ώμου, αχιλλείου τένοντα, μείζονος τροχαντήρα κλπ)
- στο έλυτρο ή περιτενόντια (πχ άκρας χειρός, ποδός)
- σε νεύρωμα Morton ή μετατάρσιους ορογόνους θύλακες (ορογονοθυλακίτιδα)
- σε πελματιαία απονευρωσίτιδα
σε επικονδυλίτιδα αγκώνα













