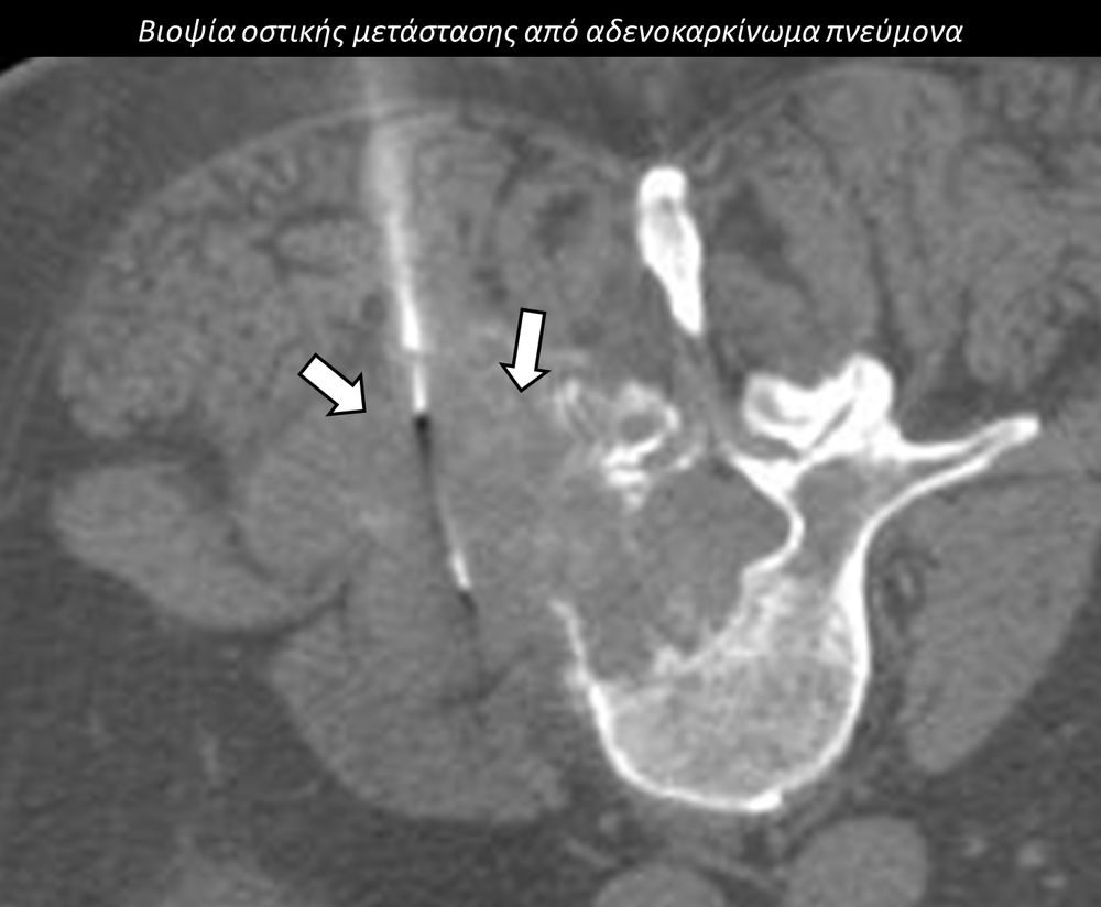
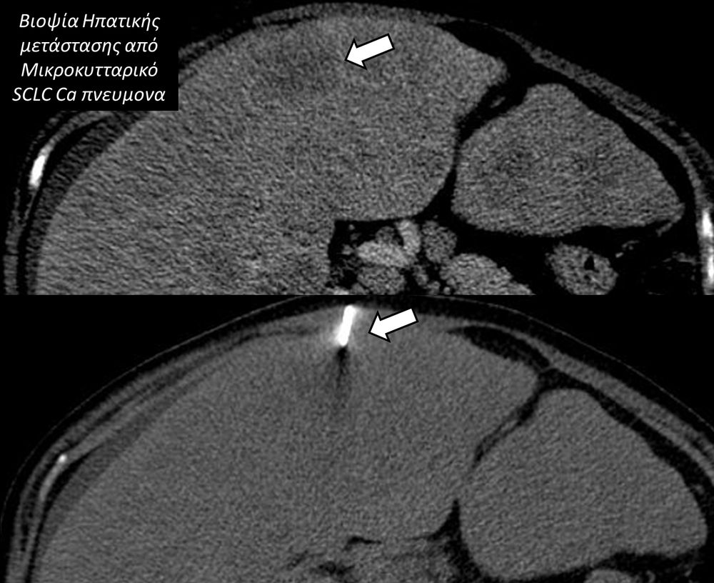
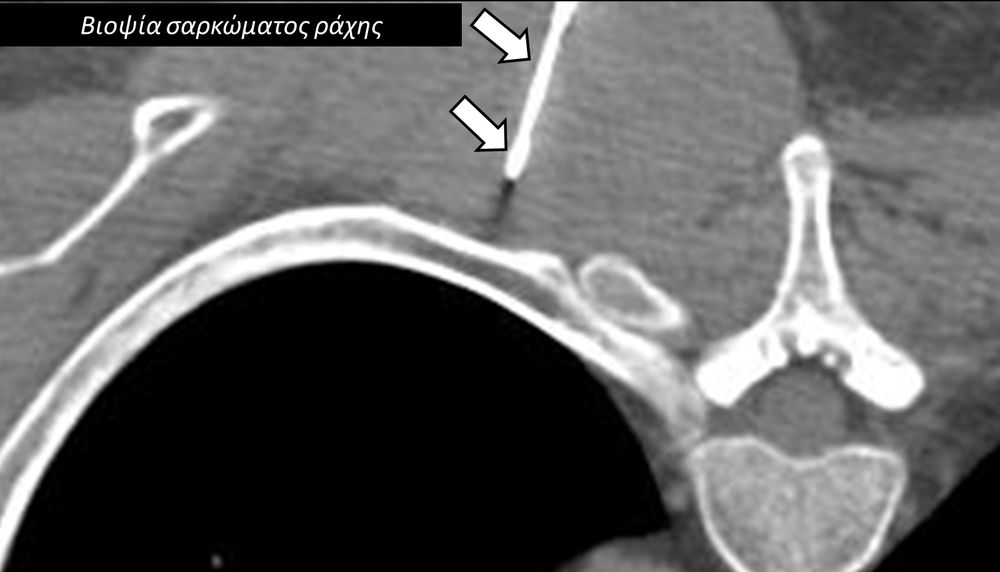
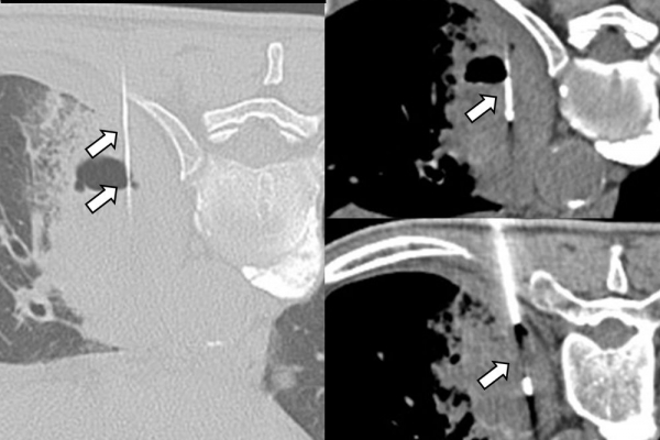
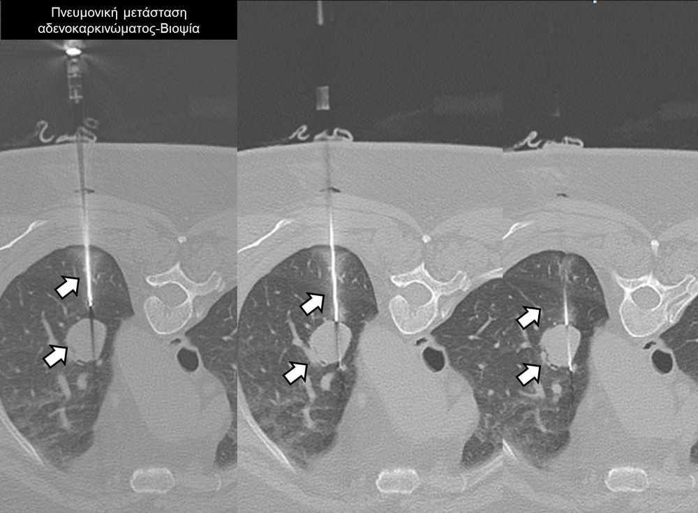
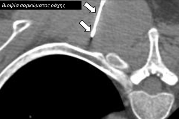
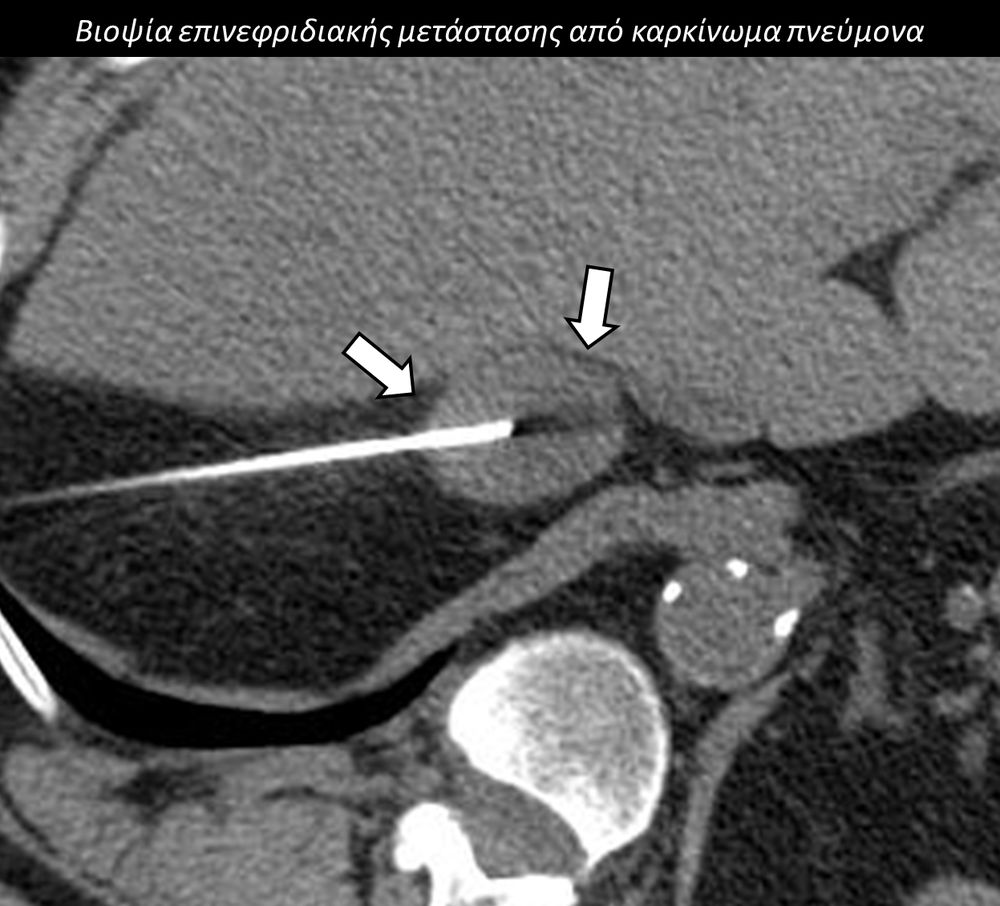
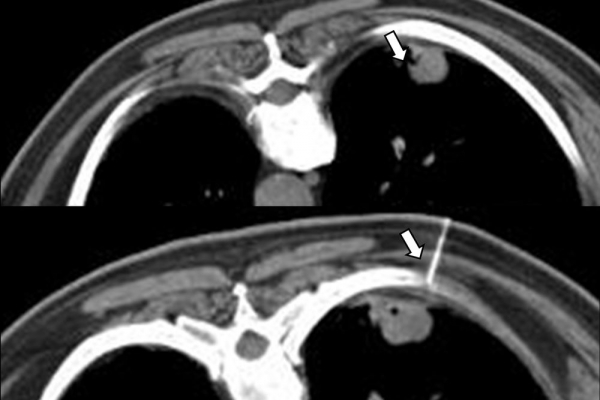
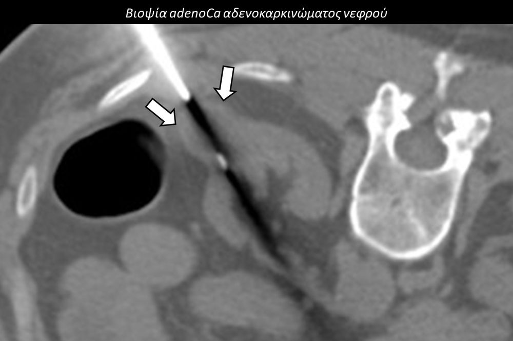
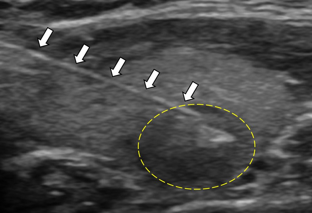
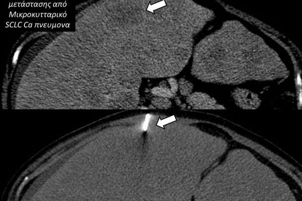
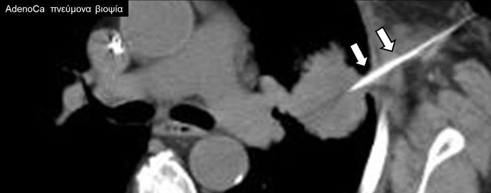
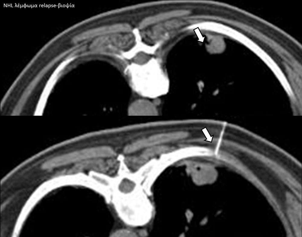
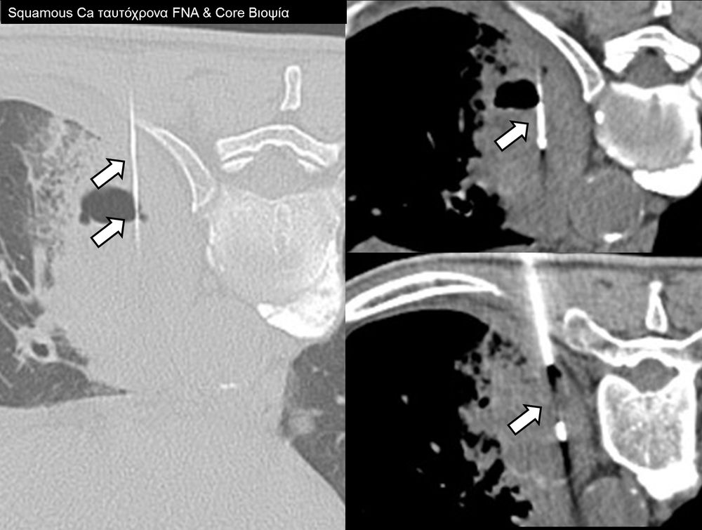
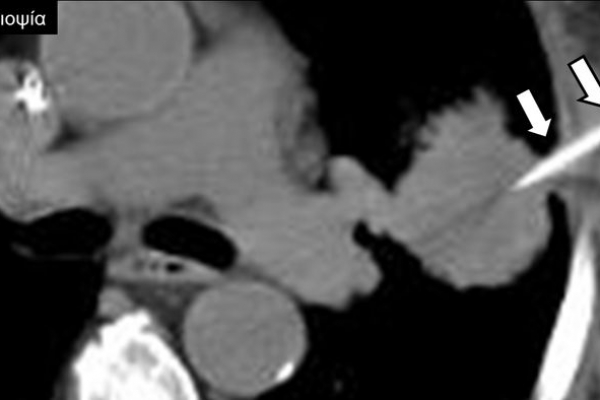
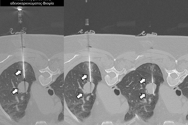
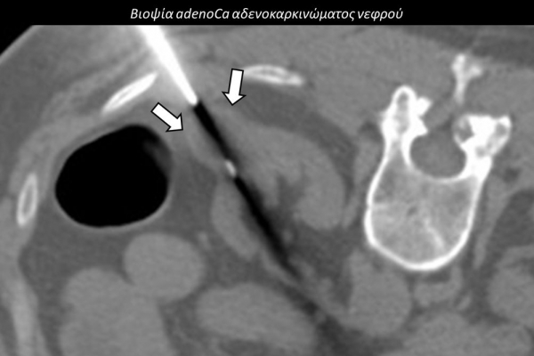
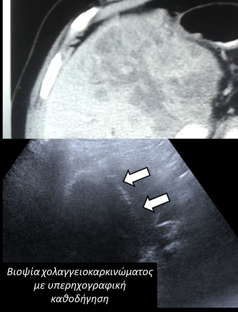
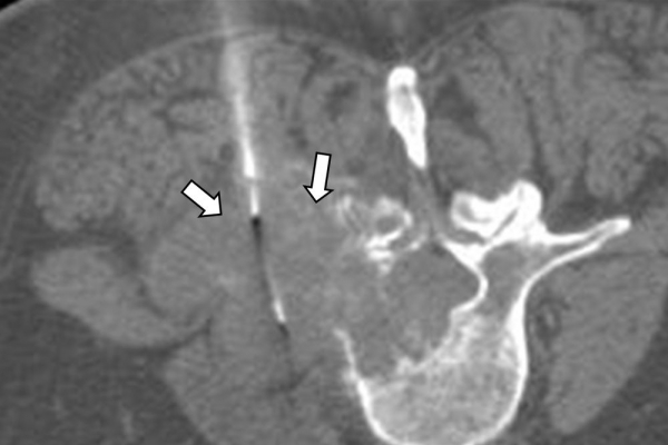
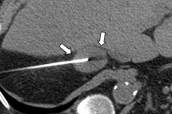
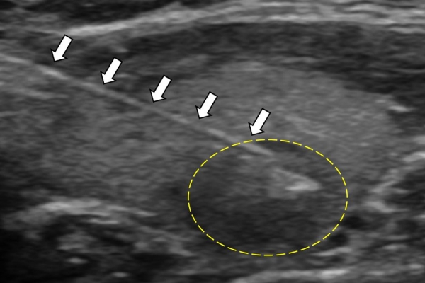
Η διαδερμική βιοψία είναι μία ελάχιστα επεμβατική μέθοδος λήψης υλικού από τον όγκο για κυτταρολογική και ιστολογική εξέταση, από εστιακές αλλοιώσεις του ήπατος, πνεύμονα, νεφρού κλπ. Συστήνεται από τον κλινικό ιατρό ανάλογα με το είδος και το μέγεθος της βλάβης και πραγματοποιείται με ασφάλεια από επεμβατικό ακτινολόγο με την καθοδήγηση αξονικού τομογράφου ή υπερήχων. Στη σύγχρονη ογκολογική θεραπεία όπου γίνεται προσπάθεια καταπολέμησης του καρκίνου σε μοριακό επίπεδο κρίνεται αναγκαία η ακριβής ιστολογική ταυτοποίηση του όγκου ώστε να εφαρμοσθεί εξατομικευμένη θεραπεία για το βέλτιστο αποτέλεσμα. Οι κατευθυνόμενες βιοψίες στοχευουν στο να παρέχουν στον κλινικό ογκολόγο το απαραίτο ιστοπαθολογικό υλικό που θα του επιτρέψει να εφαρμόσει την κατάλληλη θεραπεία για τον ογκολογικό ασθενή.













