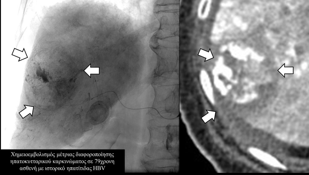
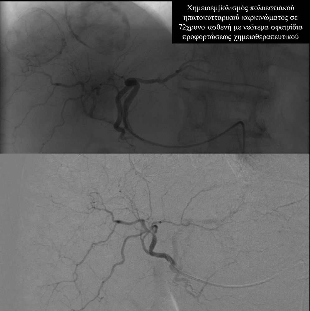
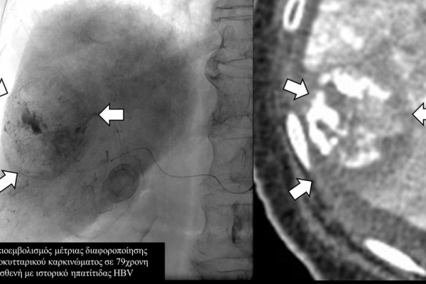
Ο χημειοεμβολισμός είναι μέθοδος τοπικής χημειοθεραπείας για πρωτοπαθή και δευτεροπαθή νεοπλάσματα του ήπατος. Σκοπός του είναι η τοπική έγχυση χημειοθεραπευτικού σε κλάδους της ηπατικής αρτηρίας, ώστε να επιτευχθούν υψηλές συγκεντρώσεις τοπικά στην ηπατική εξεργασία χωρίς να προκαλούνται οι συστηματικές επιπλοκές τοξικότητας του χημειοθεραπευτικού. Επιπλέον προκαλείται τοπική ισχαιμία στην περιοχή του όγκου από τα εμβολικά υλικά-μικροσφαιρίδια εμβολισμού.
Ο χημειοεμβολισμός έχει καθιερωθεί σαν θεραπεία εκλογής στο ενδιάμεσο στάδιο του ηπατοκυτταρικού καρκινώματος.
Ενδείκνυται επίσης σε ηπατικές μεταστάσεις από νευροενδοκρινείς όγκους, καρκίνο παχέος εντέρου και μελάνωμα, σε συνδυασμό με συστηματική χημειοθεραπεία της οποίας ενισχύει και βελτιώνει τα αποτελέσματα.
Ενδείξειςαποτελούν επίσης το χολαγγειοκαρκίνωμα και οι μεταστάσεις από καρκίνο του μαστού, καρκίνωμα νεφρού και σαρκώματα μαλακών μορίων.
Ο χημειοεμβολισμός είναι γενικά καλά ανεκτός και οι σοβαρές επιπλοκές είναι εξαιρετικά σπάνιες.Οι περισσότεροι ασθενείς μπορούν να επιστρέψουν στο σπίτι τους μία ημέρα μετά τη θεραπεία.













