Βιβλιογραφικά η συχνότητα εμφάνισης πόνου σε ασθενείς με καρκίνο αρχικού σταδίου είναι 30-40%, ενώ σε τελικό στάδιο, ανάλογα με την εντόπιση του όγκου κυμαίνεται σε ποσοστό 60-80%.
Αντίθετα με την αντίληψη ότι ο πόνος συμβαδίζει με τον καρκίνο και είναι αναπόφευκτο κομμάτι της νόσου, ο καρκινικός πόνος μπορεί και πρέπει να αντιμετωπίζεται, με στόχο την εξασφάλιση ποιότητας ζωής στον ογκολογικό ασθενή.
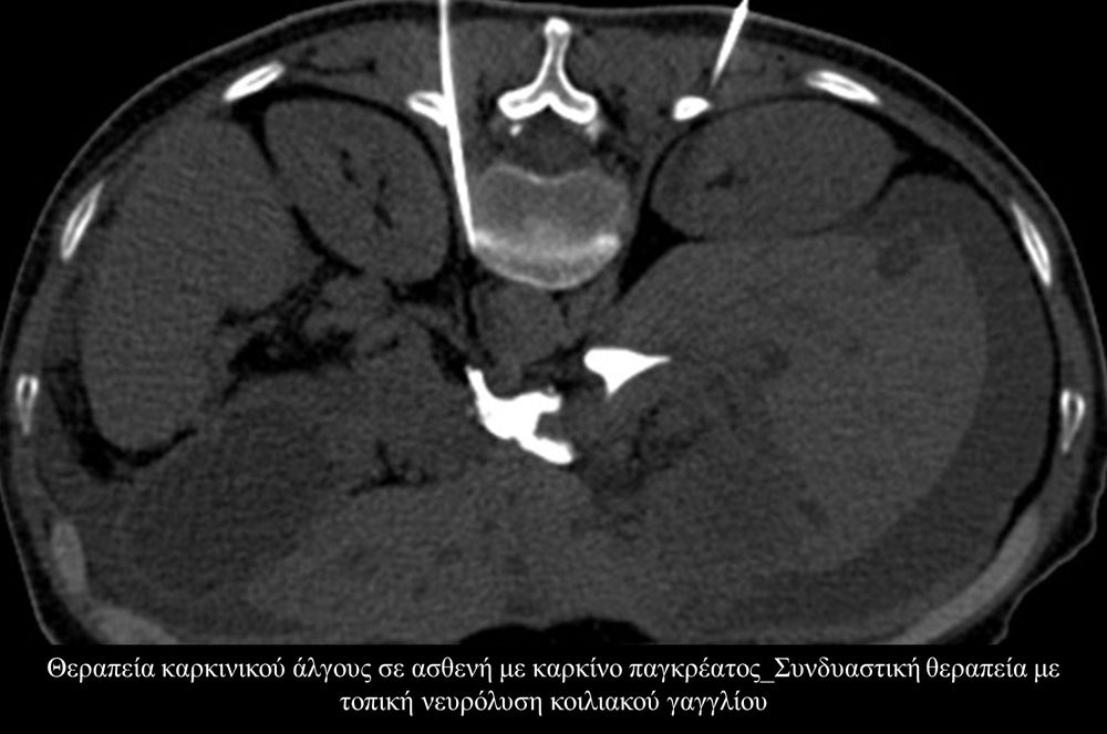
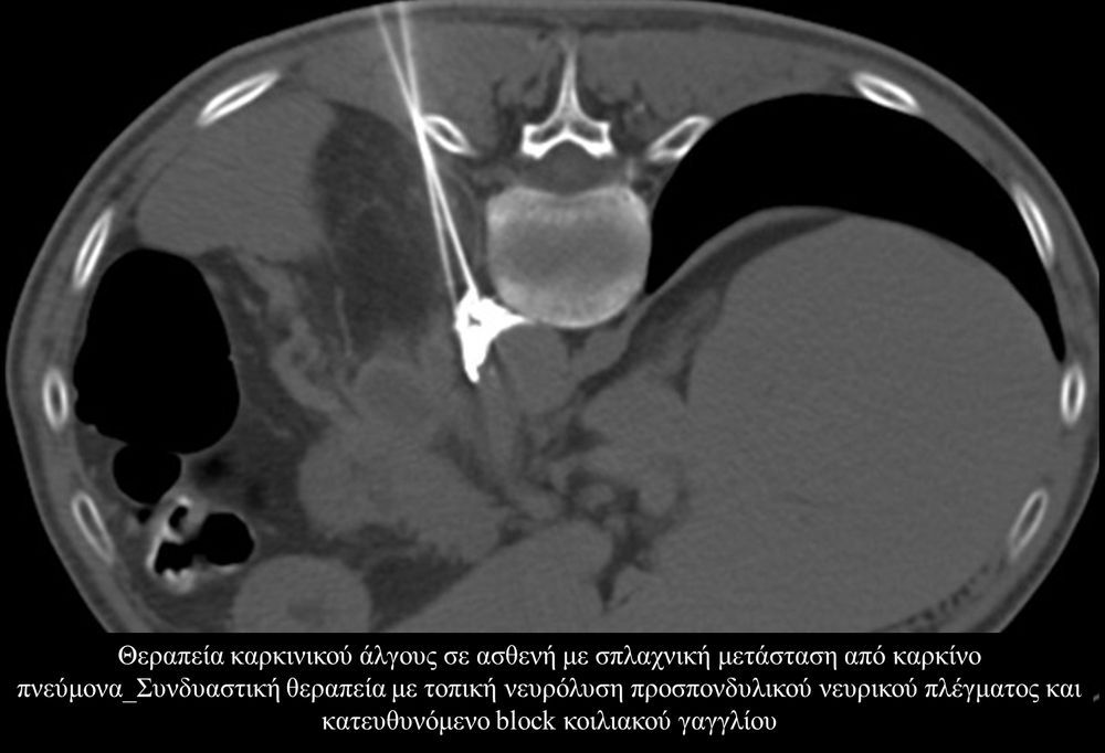
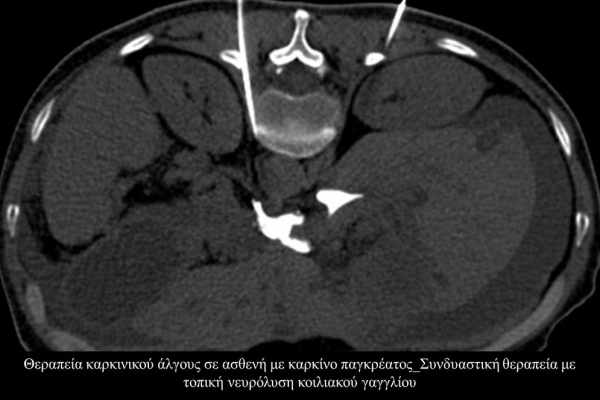
Η αντιμετώπιση του καρκινικού πόνου, εκτός από την κλασική συντηρητική φαρμακευτική θεραπεία, όταν ο πόνος επιμένει ή όταν οι παρενέργειες των φαρμακευτικών μεθόδων εξαντλούν τον ασθενή, περιλαμβάνει ελάχιστα παρεμβατικές τεχνικές με τις οποίες επιτυγχάνεται διακοπή ή καταστροφή της νευρικής οδού μεταβίβασης του πόνου. Η επεμβατική ακτινολογία διαθέτει μια πληθώρα θεραπευτικών τεχνικών που σκοπό έχουν να προσφέρουν ποιοτική βελτίωση της ζωής και των σχέσεων, τόσο των ογκολογικών ασθενών, όσο και των οικογενειών τους.













