Ο ενδαγγειακός εμβολισμός αποτελεί μια σύγχρονη εφαρμογή της επεμβατικής ακτινολογίαςπου χρησιμοποιείται για τη θεραπεία μιας ευρείας ποικιλίας ασθενειών.Είναι μία μη χειρουργική, ελάχιστα επεμβατική διαδικασία που εκτελείται από επεμβατικό ακτινολόγο σε πλειάδα θεραπευτικών εφαρμογών όπως:
♦ Αιμορραγίες
Τραυματική κάκωση αγγείων
Υποτροπιάζουσα αιμόπτυση
Αρτηριοφλεβώδεις δυσπλασίες
Γαστρεντερική αιμορραγία
Επίσταξη-Ρινορραγίες
Αιμορραγία μετά τον τοκετό
Χειρουργική αιμορραγία
Ινομυώματα της μήτρας
♦ Όγκους
Είτε προεγχειρητικά για την ελάττωση της αιμάτωσης του όγκου, είτε θεραπευτικά σε ορισμένες περιπτώσεις που δεν απαιτείται χειρουργείο ή υπάρχει αντενδειξη για χειρουργική αφαίρεση του όγκου.
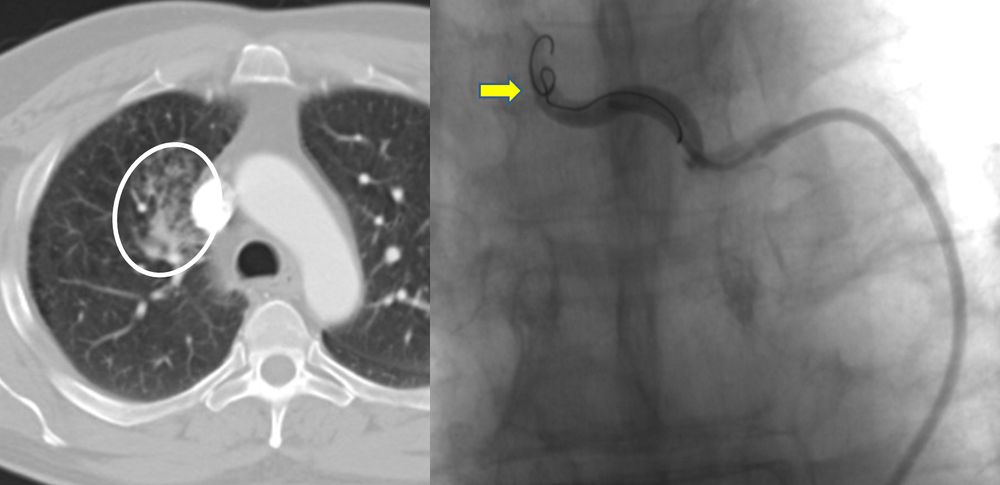
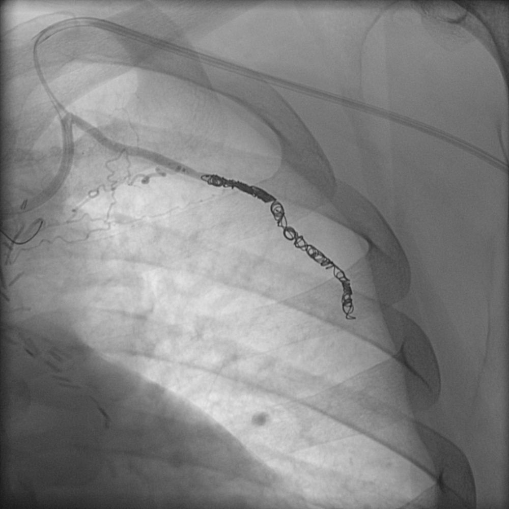
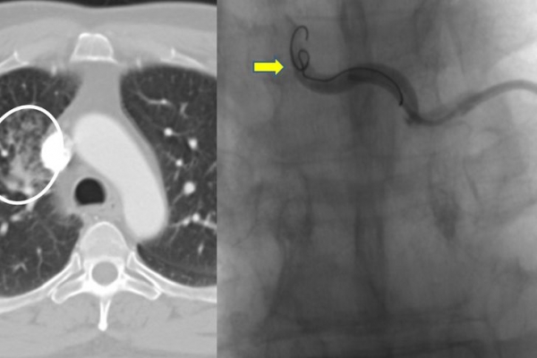
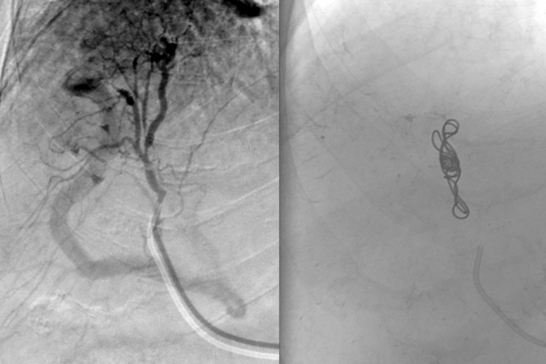
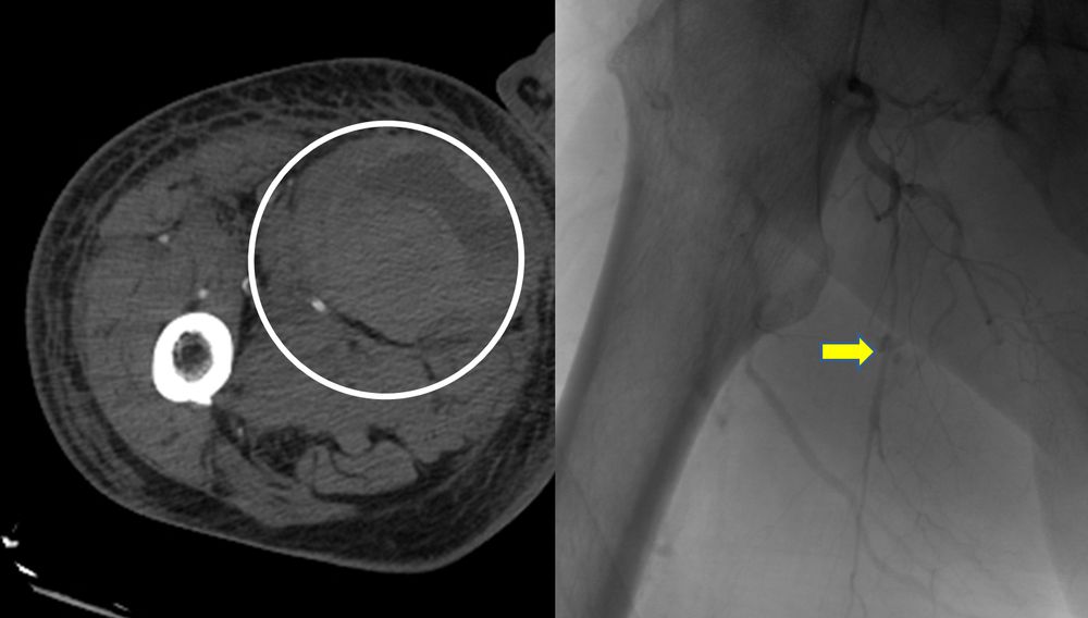
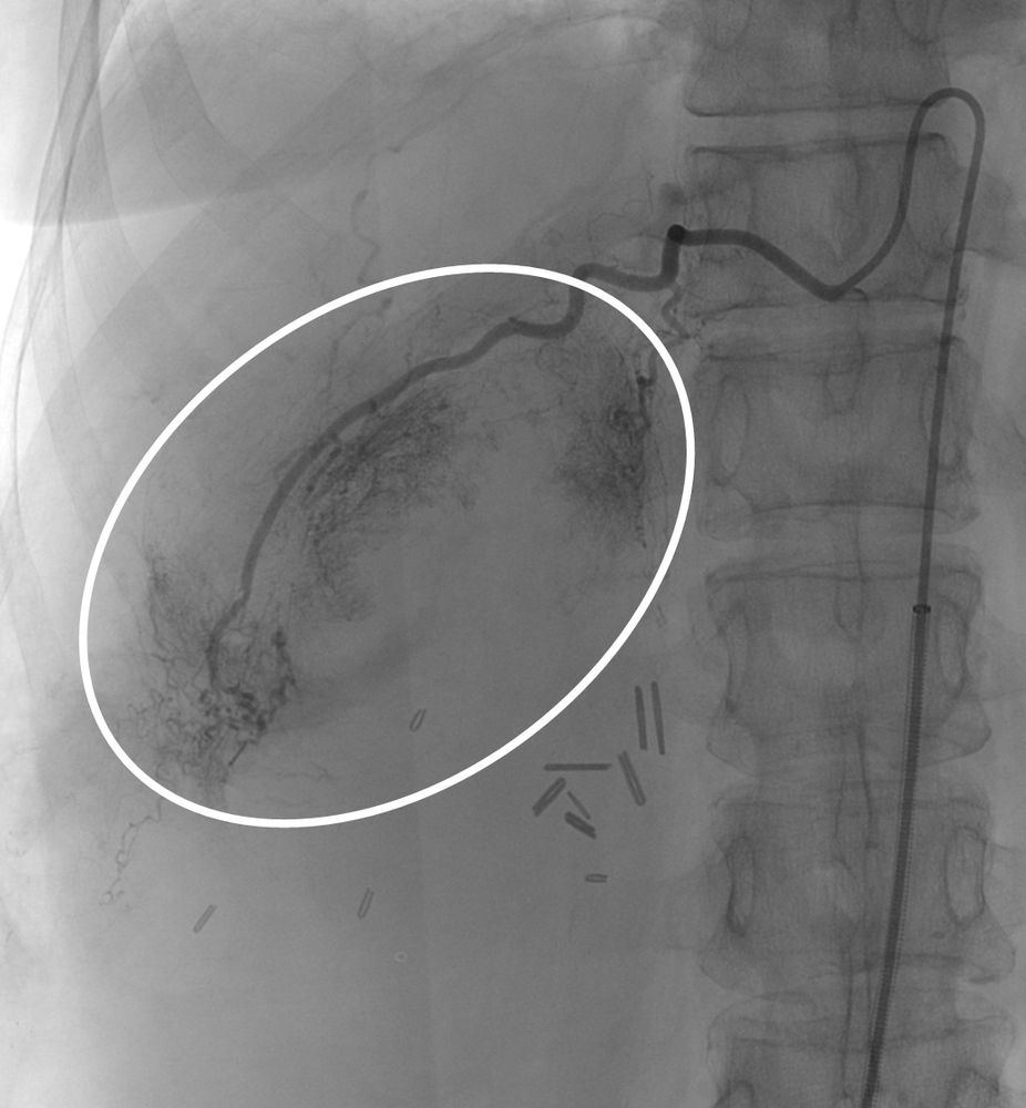
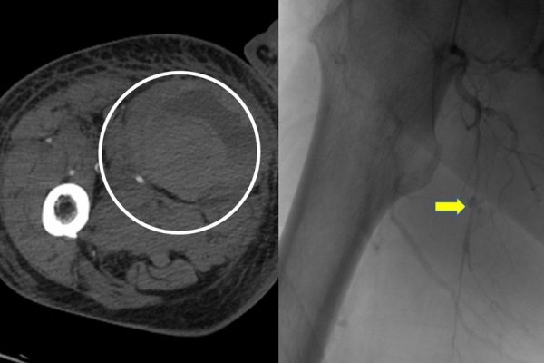
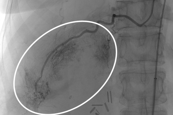
Συνοπτικά υπό την καθοδήγηση του αγγειογράφου, αναγνωρίζεταιτο παθολογικό αγγείο-αγγεία και με ειδικούς καθετήρες και μικροκαθετήρες, διοχετεύονται εμβολικά υλικάόπως μικροσφαιρίδια ή coils, ώστε να αποφραχθεί ή να μειωθεί η παθολογική αγγείωση.













